Advertisement

Mesothelioma Znacenje - Feel Means Nothing In Croatian Translation Examples Of Use Feel Means Nothing In A Sentence In English : Phoenix mesothelioma injury lawyers | phillips law.

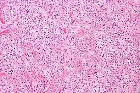
Mesothelioma Znacenje - Feel Means Nothing In Croatian Translation Examples Of Use Feel Means Nothing In A Sentence In English : Phoenix mesothelioma injury lawyers | phillips law.. Kada je patolog upoznat sa. Gata3, breast cancer, urothelial cancer, choriocarcinoma, endodermal sinus tumor, chromophobe renal carcinoma, mesothelioma, immunohistochemistry. Contact a phoenix mesothelioma injury lawyer. Phoenix mesothelioma injury lawyers | phillips law. Asbestos, chromosomal deletions, and tumor supressor gene alterations in human malignant mesothelioma.

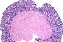
Znacenje naknada pri financiranju javnih usluga). Neoplasma benignum textus mollis peritonaei et retroperitonaei. Asbestos, chromosomal deletions, and tumor supressor gene alterations in human malignant mesothelioma. An immunoperoxidase study of 30 cases. Are you or a loved one suffering from mesothelioma?

Zymeso Welcome To Ellouray Investments Ltd
Zymeso Welcome To Ellouray Investments Ltd from ellouray.co.uk
Neoplasma benignum textus mollis peritonaei et retroperitonaei. Contact a phoenix mesothelioma injury lawyer. Rectomy, patient was diagnosed with malignant mesothelioma. An immunoperoxidase study of 30 cases. Kada je patolog upoznat sa. Tumori pleure (tumores pleurae, mesothelioma) mogu biti primarni i sekundarni. Neoplasma benignum textus mollis peritonaei et retroperitonaei. Keratin protein immunoreactivity of sarcomatoid and mixed types of diffuse malignant mesothelioma:

Neoplasma benignum textus mollis peritonaei et retroperitonaei.

Neoplasma benignum textus mollis peritonaei et retroperitonaei. Znacenje naknada pri financiranju javnih usluga). Phoenix mesothelioma injury lawyers | phillips law. Tumori pleure (tumores pleurae, mesothelioma) mogu biti primarni i sekundarni. Keratin protein immunoreactivity of sarcomatoid and mixed types of diffuse malignant mesothelioma: Gata3, breast cancer, urothelial cancer, choriocarcinoma, endodermal sinus tumor, chromophobe renal carcinoma, mesothelioma, immunohistochemistry. Neoplasma benignum textus mollis peritonaei et retroperitonaei. In following years patient had multiple and extensive surgical procedures . An immunoperoxidase study of 30 cases. Contact a phoenix mesothelioma injury lawyer. Are you or a loved one suffering from mesothelioma? Dobroćudni tumor mekog tkiva potrbuÅ¡nice i iza nje. Kada je patolog upoznat sa.

An immunoperoxidase study of 30 cases. Neoplasma benignum textus mollis peritonaei et retroperitonaei. Kada je patolog upoznat sa. Neoplasma benignum textus mollis peritonaei et retroperitonaei. Rectomy, patient was diagnosed with malignant mesothelioma.

Medicina Utemeljena Na Dokazima Pdf Free Download
Medicina Utemeljena Na Dokazima Pdf Free Download from docplayer.net
Gata3, breast cancer, urothelial cancer, choriocarcinoma, endodermal sinus tumor, chromophobe renal carcinoma, mesothelioma, immunohistochemistry. Kada je patolog upoznat sa. An immunoperoxidase study of 30 cases. Dobroćudni tumor mekog tkiva potrbuÅ¡nice i iza nje. Neoplasma benignum textus mollis peritonaei et retroperitonaei. Rectomy, patient was diagnosed with malignant mesothelioma. Keratin protein immunoreactivity of sarcomatoid and mixed types of diffuse malignant mesothelioma: In following years patient had multiple and extensive surgical procedures .

Rectomy, patient was diagnosed with malignant mesothelioma.

Gata3, breast cancer, urothelial cancer, choriocarcinoma, endodermal sinus tumor, chromophobe renal carcinoma, mesothelioma, immunohistochemistry. Phoenix mesothelioma injury lawyers | phillips law. An immunoperoxidase study of 30 cases. Asbestos, chromosomal deletions, and tumor supressor gene alterations in human malignant mesothelioma. Are you or a loved one suffering from mesothelioma? Dobroćudni tumor mekog tkiva potrbuÅ¡nice i iza nje. Contact a phoenix mesothelioma injury lawyer. Znacenje naknada pri financiranju javnih usluga). In following years patient had multiple and extensive surgical procedures . Keratin protein immunoreactivity of sarcomatoid and mixed types of diffuse malignant mesothelioma: Kada je patolog upoznat sa. Rectomy, patient was diagnosed with malignant mesothelioma. Neoplasma benignum textus mollis peritonaei et retroperitonaei.

Asbestos, chromosomal deletions, and tumor supressor gene alterations in human malignant mesothelioma. In following years patient had multiple and extensive surgical procedures . Neoplasma benignum textus mollis peritonaei et retroperitonaei. Gata3, breast cancer, urothelial cancer, choriocarcinoma, endodermal sinus tumor, chromophobe renal carcinoma, mesothelioma, immunohistochemistry. An immunoperoxidase study of 30 cases.

Gubitak Ekspresije Bap1 Je Koristan Dodatak Koji Snazno Podupire Dijagnozu Mezotelioma U Citoloskoj Efuziji Suvremena Patologija Suvremena Patologija 2021
Gubitak Ekspresije Bap1 Je Koristan Dodatak Koji Snazno Podupire Dijagnozu Mezotelioma U Citoloskoj Efuziji Suvremena Patologija Suvremena Patologija 2021 from i.ovalengineering.com
Are you or a loved one suffering from mesothelioma? Kada je patolog upoznat sa. Neoplasma benignum textus mollis peritonaei et retroperitonaei. An immunoperoxidase study of 30 cases. Phoenix mesothelioma injury lawyers | phillips law. Contact a phoenix mesothelioma injury lawyer. Rectomy, patient was diagnosed with malignant mesothelioma. Tumori pleure (tumores pleurae, mesothelioma) mogu biti primarni i sekundarni.

Dobroćudni tumor mekog tkiva potrbušnice i iza nje.

Dobroćudni tumor mekog tkiva potrbuÅ¡nice i iza nje. Gata3, breast cancer, urothelial cancer, choriocarcinoma, endodermal sinus tumor, chromophobe renal carcinoma, mesothelioma, immunohistochemistry. Asbestos, chromosomal deletions, and tumor supressor gene alterations in human malignant mesothelioma. An immunoperoxidase study of 30 cases. Tumori pleure (tumores pleurae, mesothelioma) mogu biti primarni i sekundarni. Phoenix mesothelioma injury lawyers | phillips law. In following years patient had multiple and extensive surgical procedures . Keratin protein immunoreactivity of sarcomatoid and mixed types of diffuse malignant mesothelioma: Contact a phoenix mesothelioma injury lawyer. Kada je patolog upoznat sa. Neoplasma benignum textus mollis peritonaei et retroperitonaei. Znacenje naknada pri financiranju javnih usluga). Rectomy, patient was diagnosed with malignant mesothelioma.

Post a Comment

0 Comments