Advertisement

Mesothelioma Kreft : Https Publikationen Dguv De Widgets Pdf Download Article 3348 / Or click the link in the email!

Mesothelioma Kreft : Https Publikationen Dguv De Widgets Pdf Download Article 3348 / Or click the link in the email!. Sunil badve is a pathologist in indianapolis, indiana and is affiliated with multiple hospitals in the area, including indiana university health medical center and indiana university health. Biliary adenofibroma is an exceptionally rare benign liver tumor with the potential for malignant transformation. Faglige spørsmål rettes til helsedirektoratet, +47 810 200 50, avdeling sykehustjenester, borghild.svorken@helsedir.no. 70% av pasientene med eggstokkreft. Benign multicystic peritoneal mesothelioma (bmpm) is a rare tumor that occurs mainly in women in their reproductive age.

This happens when a certain amount of asbestos fiber is inhaled which builds up overtime depending on the degree of. A sbestos is a material popularly used for fireproofing and insulation in domestic and industrial places. The week of july 26, 2021. In literature, only 21 cases have been described. According to who statistics, the most common type of cancer that kills women worldwide is breast cancer.

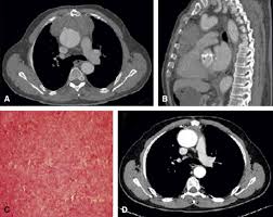
Solitary Fibrous Mediastinal Tumor With Coronary Vascular Supply An Unusual Case The Journal Of Thoracic And Cardiovascular Surgery
Solitary Fibrous Mediastinal Tumor With Coronary Vascular Supply An Unusual Case The Journal Of Thoracic And Cardiovascular Surgery from els-jbs-prod-cdn.jbs.elsevierhealth.com
For questions regarding vaccine safety you may contact: The vaccine adverse events reporting system (vaers) is a national passive reporting system that accepts reports from the public on adverse events associated with vaccines licensed in the united states. Vardjan n, horvat a, anderson je, yu d, croom d, zeng x, lužnik z, kreft m, teng yd, kirov sa. Shiitake mushroom is a fungus.an extract made from this mushroom is used as medicine. Pink or purple marks on the skin that look like stretch marks. It is hard to detect. Bayer has jettisoned one of the two immune checkpoint regulators it picked up from compugen. However, many have changed their mind these days about using asbestos since it causes certain cancers including asbestosis and mesothelioma.

The vaccine adverse events reporting system (vaers) is a national passive reporting system that accepts reports from the public on adverse events associated with vaccines licensed in the united states.

By allowing insured communication between cancer cells themselves and with the neighboring stromal cells, tunneling nanotubes (tnts) are involved in the multistep process of cancer development from tumorigenesis to the treatment resistance. Cancer advocacy organizations offer many kinds of help and support for people with cancer and their families and friends. Concern for the treatment of solid tumors. Shiitake mushroom is used to boost the immune system and to treat hiv/aids, common cold, flu (influenza), and. Biliary adenofibroma is an exceptionally rare benign liver tumor with the potential for malignant transformation. 70% av pasientene med eggstokkreft. Cancer is a generic term for a large group of diseases that can affect any part of the body. mesothelioma were the most commonly addressed types of cancer. Umumnya gejala permukaan mesothilioma hanya setelah dua sampai tiga dekade sejak individu terpapar asbes. Many of these groups focus on helping people with specific types of cancer (e.g., breast cancer, colon cancer, lung cancer, prostate cancer). Vardjan n, horvat a, anderson je, yu d, croom d, zeng x, lužnik z, kreft m, teng yd, kirov sa. Am j ind med 22(2): Microcystic adnexal carcinoma shows aggressive local invasion but has little metastatic potential.

Pink or purple marks on the skin that look like stretch marks. You will find information about the number of people who are diagnosed with thyroid cancer each year. Treatment of malignant pleural mesothelioma with carboplatin, liposomized doxorubicin, and gemcitabine: Asbest har vært brukt i. Cancer is a group of diseases involving abnormal cell growth with the potential to invade or spread to other parts of the body.

Cells Free Full Text Micrornas Contribute To Breast Cancer Invasiveness Html
Cells Free Full Text Micrornas Contribute To Breast Cancer Invasiveness Html from www.mdpi.com
Its obscure etiology and association with various intraabdominal conditions makes a precise diagnosis difficult. However, many have changed their mind these days about using asbestos since it causes certain cancers including asbestosis and mesothelioma. mesothelioma is rare in people under age 55. Marinering rødt kjøtt i alkohol kan kutte kreftrisiko factor; This happens when a certain amount of asbestos fiber is inhaled which builds up overtime depending on the degree of. In literature, only 21 cases have been described. Anticancer properties of maytansinoids have been attributed to their ability to disrupt microtubule function. Most often you can detect a tumor by feeling it … noticing a bump or an enlargement.

Founder of the pitcairn institute of veterinary homeopathy.

However, many have changed their mind these days about using asbestos since it causes certain cancers including asbestosis and mesothelioma. Author (with susan pitcairn) of natural health for dogs and cats. While these symptoms may indicate cancer, they can also have other causes. Remember, survival rates depend on several factors. 1999) and intermediate filaments (ifs) (veranič and jezernik 2002) during terminal differentiation of urothelial cells, where a clear spatial separation of ifs and afs was described (kreft et al. Am j ind med 22(2): In literature, only 21 cases have been described. kreft law offices in san rafael, california. Umumnya gejala permukaan mesothilioma hanya setelah dua sampai tiga dekade sejak individu terpapar asbes. In some internal cancers (like pancreatic or liver), the signs can vary depending on the organ. The five most common cancers that kill women are, in order of frequency, breast cancer, lung cancer, stomach. Vardjan n, horvat a, anderson je, yu d, croom d, zeng x, lužnik z, kreft m, teng yd, kirov sa. Lungekreft dreper ca 1,6 millioner mennesker over hele verden hvert år.

Till now ifs were located in tnts connecting cancer urothelial cells, mesothelioma cells and squamous carcinoma cells 9,10,11,. Når noen du elsker har cancer; Nonpharmacologic interventions such as fans provided some relief from breathlessness. This happens when a certain amount of asbestos fiber is inhaled which builds up overtime depending on the degree of. Remember, survival rates depend on several factors.

Frontiers From Pinocytosis To Methuosis Fluid Consumption As A Risk Factor For Cell Death Cell And Developmental Biology
Frontiers From Pinocytosis To Methuosis Fluid Consumption As A Risk Factor For Cell Death Cell And Developmental Biology from www.frontiersin.org
kreft og kardiovaskulære sykdommer er ledende dødsårsaker i industriland og i mange utviklingsland. Most often you can detect a tumor by feeling it … noticing a bump or an enlargement. The decision follows a review that foresaw bleak prospects for the program and little reason to invest. These contrast with benign tumors, which do not spread. Når noen du elsker har cancer; Redness or a feeling of warmth in your face and neck (skin flushing) weight gain, particularly around the midsection and upper back. mesothelioma is rare in people under age 55. Signs and symptoms of carcinoid lung tumors include:

Its obscure etiology and association with various intraabdominal conditions makes a precise diagnosis difficult.

The pathogenesis of bmpm is unclear and a controversy regarding its neoplastic and reactive nature exists. Till now ifs were located in tnts connecting cancer urothelial cells, mesothelioma cells and squamous carcinoma cells 9,10,11,. While these symptoms may indicate cancer, they can also have other causes. Or click the link in the email! Treatment of malignant pleural mesothelioma with carboplatin, liposomized doxorubicin, and gemcitabine: Carcinoid tumors in the lungs. If you have symptoms that do not get better after a few weeks, see your doctor so that problems can be diagnosed and treated as early as possible. Studies of basal cell carcinoma, nonsmall cell lung cancer, ovarian cancer, and malignant pleural mesothelioma have shown favorable results suggesting that more study of itraconazole is warranted to decide its clinical utility. De eksisterende kliniske og patologiske verktøy for disse sykdommene er ikke tilstrekkelige for å gi presis prediksjon av respons eller optimal individualisert behandling. Golgi apparatus fragmentation as a mechanism. Just in the same way as the difficulty of these cases; Benign multicystic peritoneal mesothelioma (bmpm) is a rare tumor that occurs mainly in women in their reproductive age. Stage refers to the extent of your cancer, such as how large the tumor is, and if it has spread.

Post a Comment

0 Comments