Advertisement

Causes Of Mesothelioma In Dogs - Causes Of Mesothelioma In Dogs Apklas - Dogs are some of the most beloved pets for us to have around.

Causes Of Mesothelioma In Dogs - Causes Of Mesothelioma In Dogs Apklas - Dogs are some of the most beloved pets for us to have around.. This cancer develops in the layer of tissue that covers many internal organs in the body. Both have provided services and companionship to humans for many centuries. Chest pain is the most usual and obvious symptom of mesothelioma. Your guide to mesothelioma, including what it is, the different types and stages it has, the treatments available and how to cope with your diagnosis. Dogs and cats are from different species of animals, appealing to different types of people.

Or, you can choose another section to learn more about a specific question you have. Malignant mesothelioma cause by asbestos affects the mesothelium, a membrane that covers vital organs, especially the lungs and chest cavity. Usually, this cancer is found in the lining of the lungs and th. Skip to content search menu this is cancer.net's guide to mesothelioma. Mesothelioma is a rare type of cancer that that develops in the pleura, a thin membrane that separates the lung from the chest wall.

Effusion Cytology Clinician S Brief
Effusion Cytology Clinician S Brief from files.brief.vet
Malignant mesothelioma cause by asbestos affects the mesothelium, a membrane that covers vital organs, especially the lungs and chest cavity. Malignant mesothelioma is a rare form of cancer typically caused by exposure to asbestos. Mesothelioma is a rare type of cancer that that develops in the pleura, a thin membrane that separates the lung from the chest wall. There is a long list of why dogs are such a wonderful companion to have, some of the reasons include their loyal nature, their loving disposition, and protective instincts. This thin layer of tissue is called the mesothelium. The information on this page was reviewed and approved by maurie markman, md, president, medicine & science at ctca. Even though each species has its own distinct looks and characteristics. Use the menu below to choose the introduction section to get started.

Chest pain is the most usual and obvious symptom of mesothelioma.

Malignant mesothelioma cause by asbestos affects the mesothelium, a membrane that covers vital organs, especially the lungs and chest cavity. Or, you can choose another section to learn more about a specific question you have. Dogs and cats are from different species of animals, appealing to different types of people. The information on this page was reviewed and approved by maurie markman, md, president, medicine & science at ctca. This cancer develops in the layer of tissue that covers many internal organs in the body. Mesothelioma is a cancer that most commonly starts in the layers of tissue that cover eac. Chest pain is the most usual and obvious symptom of mesothelioma. Your guide to mesothelioma, including what it is, the different types and stages it has, the treatments available and how to cope with your diagnosis. Use the menu below to choose the introduction section to get started. The majority of mesotheliomas occur in the pleural cavity. Early symptoms of mesothelioma are more often caused by other things, so at first people may ignore them or mistake them for common, minor ailments. Mesothelioma is a rare type of cancer that that develops in the pleura, a thin membrane that separates the lung from the chest wall. Skip to content search menu this is cancer.net's guide to mesothelioma.

Malignant mesothelioma is a rare form of cancer typically caused by exposure to asbestos. Dogs and cats are from different species of animals, appealing to different types of people. The majority of mesotheliomas occur in the pleural cavity. Early symptoms of mesothelioma are more often caused by other things, so at first people may ignore them or mistake them for common, minor ailments. The information on this page was reviewed and approved by maurie markman, md, president, medicine & science at ctca.

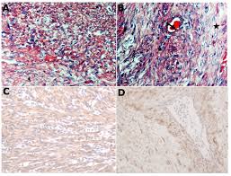
Types Of Mesothelioma The Williams Law Firm Firm
Types Of Mesothelioma The Williams Law Firm Firm from www.williamstriallawyers.com
Dogs and cats are from different species of animals, appealing to different types of people. It usually occurs from prior exposure to asbestos, a type of mineral fiber used in the insulation industry. Mesothelioma is a rare type of cancer that that develops in the pleura, a thin membrane that separates the lung from the chest wall. Even though each species has its own distinct looks and characteristics. The majority of mesotheliomas occur in the pleural cavity. Or, you can choose another section to learn more about a specific question you have. The pain you feel is very sharp and goes rig. Mesothelioma is a cancer that most commonly starts in the layers of tissue that cover eac.

This cancer develops in the layer of tissue that covers many internal organs in the body.

Early symptoms of mesothelioma are more often caused by other things, so at first people may ignore them or mistake them for common, minor ailments. Mesothelioma is a rare type of cancer that that develops in the pleura, a thin membrane that separates the lung from the chest wall. Malignant mesothelioma cause by asbestos affects the mesothelium, a membrane that covers vital organs, especially the lungs and chest cavity. This page was updated on april 2, 2021. There is a long list of why dogs are such a wonderful companion to have, some of the reasons include their loyal nature, their loving disposition, and protective instincts. Usually, this cancer is found in the lining of the lungs and th. Even though each species has its own distinct looks and characteristics. Or, you can choose another section to learn more about a specific question you have. The pain you feel is very sharp and goes rig. Dogs are some of the most beloved pets for us to have around. As like infiltration of the pleural lining mesothelioma is very painful and will lead you to the hospital right away. The information on this page was reviewed and approved by maurie markman, md, president, medicine & science at ctca. Skip to content search menu this is cancer.net's guide to mesothelioma.

There is a long list of why dogs are such a wonderful companion to have, some of the reasons include their loyal nature, their loving disposition, and protective instincts. Skip to content search menu this is cancer.net's guide to mesothelioma. Mesothelioma is a type of cancer. Use the menu below to choose the introduction section to get started. Usually, this cancer is found in the lining of the lungs and th.

Types Of Mesothelioma The Williams Law Firm Firm
Types Of Mesothelioma The Williams Law Firm Firm from www.williamstriallawyers.com
Usually, this cancer is found in the lining of the lungs and th. Mesothelioma is a type of cancer. The pain you feel is very sharp and goes rig. Malignant mesothelioma is a rare form of cancer typically caused by exposure to asbestos. Or, you can choose another section to learn more about a specific question you have. The information on this page was reviewed and approved by maurie markman, md, president, medicine & science at ctca. There is a long list of why dogs are such a wonderful companion to have, some of the reasons include their loyal nature, their loving disposition, and protective instincts. Mesothelioma is a cancer that most commonly starts in the layers of tissue that cover eac.

Even though each species has its own distinct looks and characteristics.

Skip to content search menu this is cancer.net's guide to mesothelioma. Even though each species has its own distinct looks and characteristics. Malignant mesothelioma cause by asbestos affects the mesothelium, a membrane that covers vital organs, especially the lungs and chest cavity. The majority of mesotheliomas occur in the pleural cavity. The pain you feel is very sharp and goes rig. Malignant mesothelioma is a rare form of cancer typically caused by exposure to asbestos. Your guide to mesothelioma, including what it is, the different types and stages it has, the treatments available and how to cope with your diagnosis. Mesothelioma is a type of cancer. Mesothelioma is a rare type of cancer that that develops in the pleura, a thin membrane that separates the lung from the chest wall. Or, you can choose another section to learn more about a specific question you have. The information on this page was reviewed and approved by maurie markman, md, president, medicine & science at ctca. This page was updated on april 2, 2021. This cancer develops in the layer of tissue that covers many internal organs in the body.

Post a Comment

0 Comments